女子逗猫一月视力骤降 康复希望渺茫
女子因逗猫导致视力骤降,康复希望渺茫。
近期,上海市第一人民医院眼科
接诊了一位“铲屎官”
短短一个月视网膜严重受损
而险些让他致盲的元凶
居然是逗猫用的激光笔
其实不止养猫家庭
不少会议室里也有激光笔
甚至市场上给还有激光笔玩具出售
其中的安全隐患
真的要给所有人提个醒!
“逗猫”一个月,视力骤降
目前仅能看清30厘米处手指
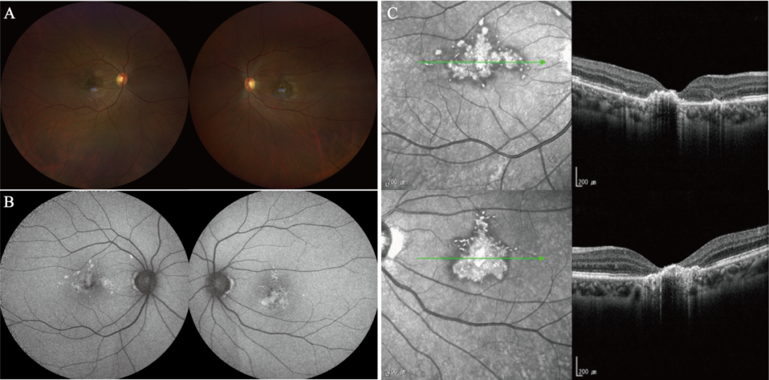
据医生介绍,患者近一个月来发现自己视力持续下降,没有眼痛、眼红等其他不适,起初以为是疲劳所致,直到看东西越来越模糊,才赶紧来院就诊。
眼科检查结果让人揪心:她的双眼视力从正常的1.0暴跌至只能看清眼前30厘米处的手指动作(医学上称为“FC/30cm”)。
眼底检查影像更显示,她的黄斑有一些较密集的新旧病灶并存的累积性损伤,且损伤已累及深层组织,恢复希望渺茫。而这些病变提示视网膜强光损伤。
追问病史时,这位患者既不从事强光相关职业,也没有被强光照射的经历——唯一的“疑点”,是她网购的一支红色激光笔。“我每天用它逗猫,自己也会偶尔看地上移动的红点,地板上反光的,当时没觉得不舒服,顶多眼冒黑影,但还能正常开车。”患者的话,道出了关键隐患。
